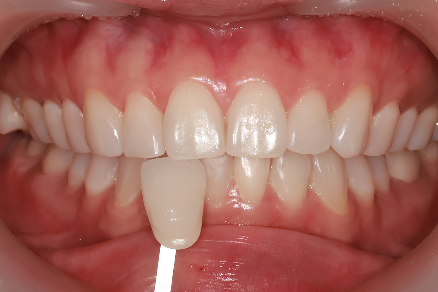
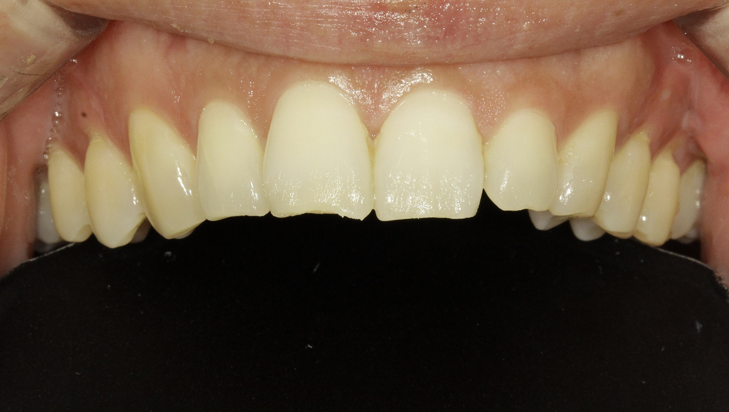
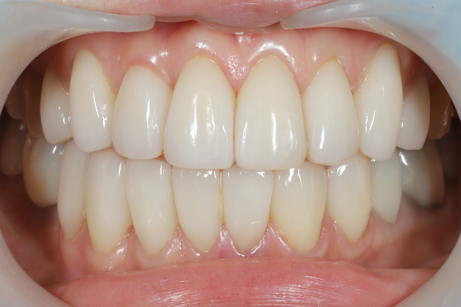
시술별 전후사진
커뮤니티

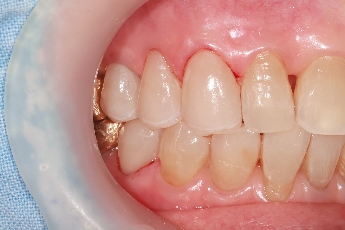
시술별 전후사진

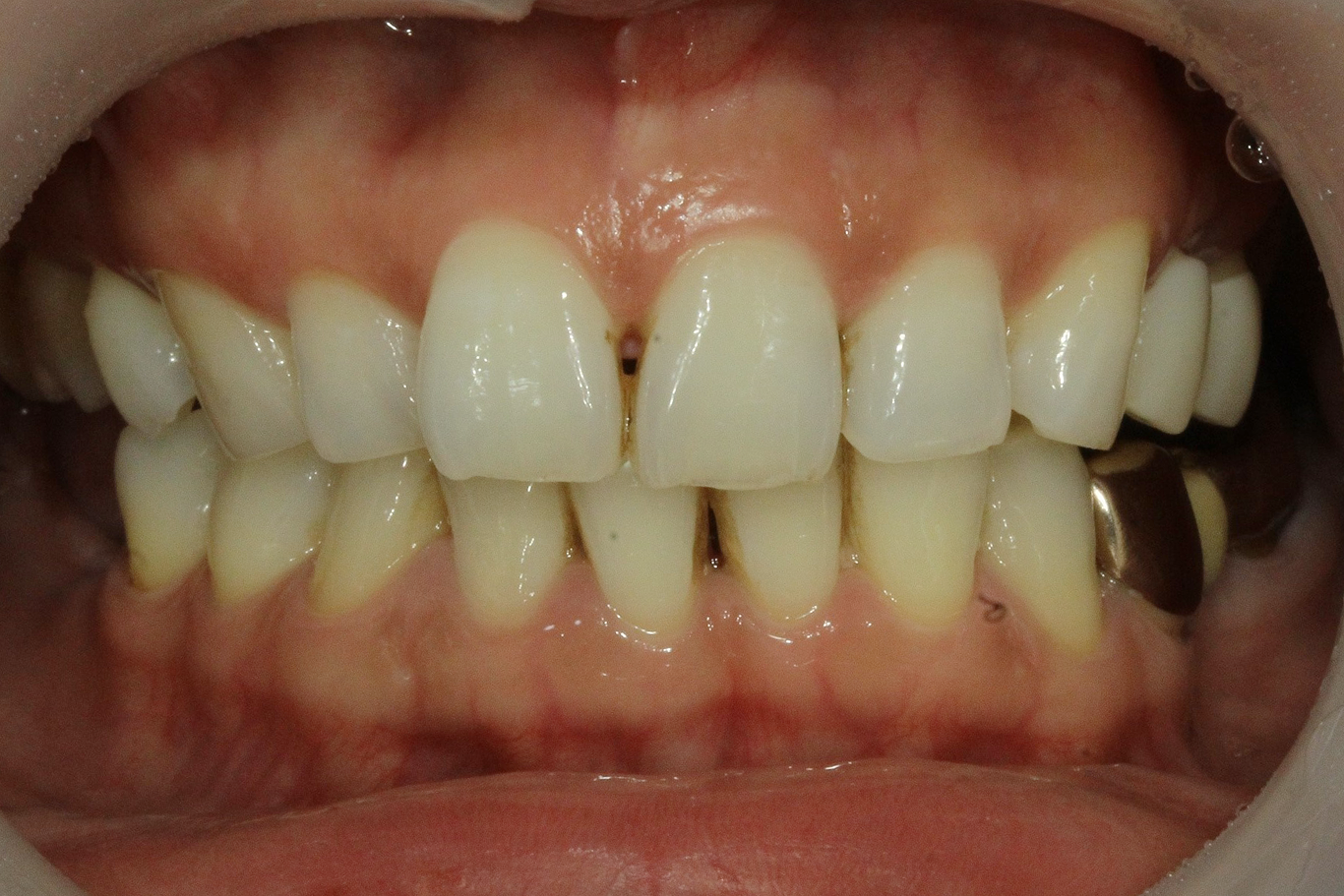
시술별 전후사진

온라인 예약